e-mail
Twitter
Facebook
HOME
ABOUT
PORTFOLIO
PRESCRIPTION FORM
CALENDAR
CONTACT
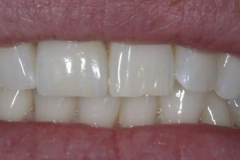
Gallery D
Home
Gallery D